Почему возникает некроз и как его лечить?

Дата публикации: 29.05.2021

Обновлено: 09.06.2021

Проверено врачом: Азаркевич Алла Петровна

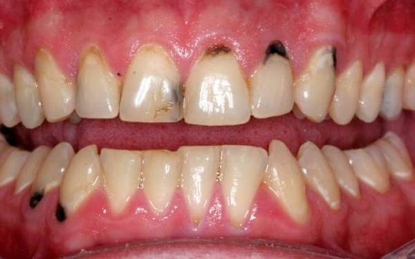
Некроз зубов – достаточно редкое заболевание. Проявляется различными дефектами эмали в виде пятен, полостей, дырочек. Имеет некариозное происхождение. Чаще всего болезнь встречается у тех, кто работает с вредными токсическими веществами, а также у пациентов, проходящих радиологическое лечение, либо у людей с нарушением гормонального баланса и пищеварительной системы.

Чем некроз отличается от кариеса

Кариес вызван сочетанием нескольких факторов, среди которых ведущая роль принадлежит микроорганизмам, кислотам и слабоминерализованной эмали. Некроз чаще всего вызван химическими веществами. Причина также обуславливает внешний вид полости. "Дырочка", вызванная кариесом, снаружи мало заметна, она расширяется вглубь. Полость, появившаяся вследствие некроза, имеет одинаковые размеры на всей глубине. Она очень хорошо видна на зубе, обычно располагается на шейке зуба, где эмаль самая тонкая. Также кариес имеет тенденцию распространятся вглубь, а некроз "поедает" эмаль вширь.

Причины некроза

  • Радиологическое излучение (у онкобольных пациентов)
  • Нарушения в работе желез внутренней секреции
  • Сбои в работе нервной системы
  • Наличие у пациента заболеваний желудочно-кишечного тракта
  • Гормональный дисбаланс
  • Воздействие токсических веществ
  • Длительное использование медикаментов, в составе которых могут быть вредные для зубного ряда вещества
  • Радиационное облучение
  • Злоупотребление продуктами, в составе которых присутствуют кислоты.

Основные симптомы при данном заболевании: меловидные или темные пятна на эмали в области шейки зуба, повышенная чувствительность зубов, боль. При некрозе поверхность зуба теряет свой блеск и приобретает матовость. После воздействия токсических веществ также наблюдается изменение кислотности слюны. Пациенты начинают жаловаться на болезненные ощущения при чистке зубов. Если вовремя не лечить проблему, зуб можно потерять.

Лечение некроза зуба

Чтобы поставить точный диагноз и определить причину некроза, стоматолог в Минске проводит рентгенографию зубного ряда и полный осмотр ротовой полости. На основании полученных результатов составляется индивидуальный план лечения. Как правило, если некроз находится на этапе пятна, сначала поводят реминерализацию зубов (укрепление эмали фтором и кальцием). Если уже образовалась полость, ее пломбируют. Чтобы избавится от повышенной чувствительности, врач помогает пациентам подобрать индивидуальные средства для гигиены полости рта. Если же пациент проходит лечение лучевой или химиотерапией, восстановить эмаль и избавиться от некроза можно будет только после прохождения всего курса.

Помимо медицинской помощи, многое в лечении некроза зубов зависит и от самого пациента: необходимо ограничить себя в употреблении кислых продуктов, а также пересмотреть с лечащим врачом прием вредных для зубной эмали лекарств. Не менее важным будет и лечение заболеваний других органов повлиявшие на зубную эмаль: восстановление гормонального баланса, лечение щитовидной железы и желудочно-кишечного тракта.

Вылечить некроз и прочие стоматологические заболевания, а также пролечить зубы под наркозом без страха и боли можно в Центре Семейной Стоматологии. Благодаря применению медикаментозной седации и современному оборудованию европейского качества, лечение проходит не только безболезненно, но и комфортно. Если Вы всегда мечтали лечить зубы во время сна, при этом чувствовать себя спокойно и расслабленно, Центр Стоматологии в Минске – как раз то, что Вам нужно.

Источники
  1. Боровский Е. В. и соавт. Терапевтическая стоматология. — М., 1998.
  2. Леонтьев В. К. Профилактика стоматологических заболеваний  — М., 2006
Информация представленная на странице не является рекомендацией к действию. Будьте внимательны к своему здоровью, не занимайтесь самолечением. Обязательно проконсультируйтесь с врачом.
Оцените, пожалуйста, статью
Рейтинг: 4.4/5 - 33 голосов
15680 просмотров
Эксперт статьи, которую Вы читаете
Азаркевич Алла Петровна

Врач-стоматолог - терапевт первой квалификационной категории
Стаж: с 1999 года

Другие статьи
Появились вопросы?
Появились вопросы?
Дадим грамотную консультацию!
https://medexpert.by/
4.8 / 5
Всего отзывов: 45
https://medexpert.by/assets/cache_image/images/image/article/nekroz_zuba_270x200_df5.jpg