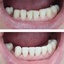
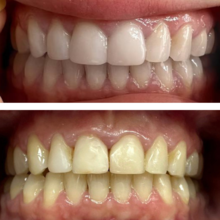
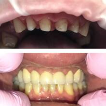
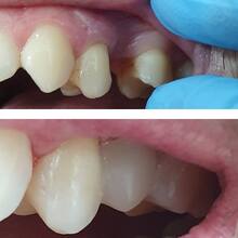
Примеры работ

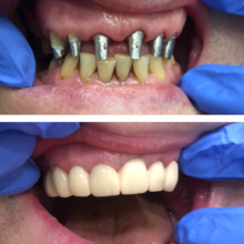
В данном разделе нашего сайта представлены примеры работ наших специалистов. Фотографии ДО и ПОСЛЕ лечения зубов
Примеры работ

Лечение зубов детям

Протезирование

Лечение зубов взрослым

Исправление прикуса брекетами
Отзывы пациентов
Юлия

Хочу выразить огромную благодарность врачу Картель Анастасии Владимировне и анестезиологу Валек Александру Александровичу,за их добросовестное отношение к своим пациентам,и за качество их работы. Я не первый раз обращаюсь за помощью лечения зубов своим деткам,и если понадобится я обращусь только к ним, это не просто специалисты своего дела, это чуткие,добрые,ответственные врачи и мед персонал. Спасибо всем огромное!

Врачи:   Картель Анастасия Владимировна Валек Александр Александрович 14.03.2026
Ольга Алексеевна

Хочу выразить огромную благодарность стоматологу Азаркевич Алле Петровне и ее ассистенту Харитонович Тамаре Ивановне,за профессионализм, отзывчивость и качественно выполненное лечение без боли!!! У меня проблема с обезбаливающими, и наконец-то я нашла клинику, в которой обезбаливание меня взяло и я ничего не чувствовала во время лечения. Теперь лечить зубы только у Вас!

Врачи:   Азаркевич Алла Петровна 12.03.2026
Татьяна

1.03.2026 проходили лечение под седацией у врачей Кротовой И.В. и Лытина П.А. Из-за особенностей ребенка, ее диагноза и сверхчувствительности даже простая чистка зубов у нас проходит с плачем, поэтому, я не представляла другой альтернативы, кроме как лечить зубки во сне. В клинике, по пробуждению, она конечно дала волю эмоциям, но о такой вероятности нас предупреждал Павел Анатольевич, поэтому мы были готовы. А Ирина Владимировна показала и рассказала о том как прошло лечение и на что следует обратить внимание при уходе. Спасибо за Вашу открытость и готовность развеять страхи тревожной мамы, за Вашу заботу и внимание к нашей дочери.

Врачи:   Кротова Ирина Владимировна Лытин Павел Анатольевич 03.03.2026

Услуги стоматологии

Лечение зубов под наркозом в Минске без боли и страха
Лечение зубов под наркозом в Минске без боли и страха Седация
Вылечим до 10 молочных зубов за посещение
Детская стоматология Детская стоматология
Терапевтическая стоматология для всей семьи
Терапевтическая стоматология Терапия
Протезирование зубов в Центре Семейной Стоматологии
Протезирование зубов Протезирование
Имплантация зубов под ключ высококачественными материалами
Имплантация зубов в Минске Имплантация
Удаление зуба мудрости под наркозом (седацией) - это реальность
Хирургическая стоматология в Минске Хирургия
Ортодонт в Минске
Ортодонт в Минске Ортодонтия
Консультация врача пародонтолога
Пародонтология Пародонтология
Все услуги

Красивая и здоровая улыбка – залог успеха во всех жизненных сферах человеческой деятельности, начиная от личных отношений - заканчивая карьерой. Для того, чтобы ваши зубы как можно дольше оставались в хорошем состоянии, необходимо регулярно посещать специалиста

Качество, профессионализм и опыт

Центр Семейной Стоматологии предлагает своим пациентам полный комплекс медицинских услуг, которые направленны на лечение, восстановление, удаление и замену зубов. Если вы - человек с повышенным чувствительным порогом, то вы сможете воспользоваться инновационной услугой нашей клиники «Выполнение любого уровня сложности процедуры под седацией (во сне)". Услугой может воспользоваться любой пациент в возрасте от 1-ого года.  Такой способ лечения зубов некоим образом не сказывается на здоровье человека, общий наркоз – это безопасная услуга.

В своей практике Центр Семейной Стоматологии использует только высококачественное профессиональное оборудование и материалы, которые позволяют выполнять работу по европейским стандартам. В компании работают высококвалифицированные специалисты с огромным опытом работы.

В данном разделе нашего сайта представлены примеры работ наших специалистов. Посещение Центра Семейной Стоматологии в Минске гарантирует вам лечение зубов на высоком уровне, с возможностью лечения под седацией (во все).

Фото ДО и ПОСЛЕ наглядно передают возможности нашей клиники и специалистов.

Записаться на консультацию
Записаться на  консультацию

Или позвоните
+375 33 376 02 80

Мы свяжемся с Вами и подберем удобное время визита.
https://medexpert.by/
4.8 / 5
Всего отзывов: 45