Протезирование металлокерамическими коронками

Протезирование металлокерамическими коронками

Установка металлокерамических коронок – один из наиболее надежных способов восстановить сильно разрушенный зуб. В Центре Семейной Стоматологии врачи успешно устанавливают металлокерамику, которая служит своим владельцам долгие годы.

Стоматология в своем развитии значительно шагнула вперед и коронки уже не ассоциируются с «железными зубами». Металлокерамика сочетает в себе прочность, высокие эстетические свойства, поэтому ее используют и на передних, и на боковых зубах. Даже если зуб сильно разрушен, но имеет крепкий корень, металлокерамическое протезирование позволяет обрести ему новую жизнь.

Содержание страницы проверил врач: Магакелян Севак Артурович

Проверено: 24.04.2023

Без боли и стресса

Без боли и стресса

Доступно протезирование в состоянии медикаментозного сна

Высококлассная команда

Высококлассная команда

Все врачи – специалисты первой и высшей категории + команда опытных анестезиологов

Работаем без выходных

Работаем без выходных

Клиника открыта 7 дней в неделю, запись онлайн

Плюсы протезирования металлокерамикой в Центре Семейной Стоматологии

Металлокерамика: качественно и надежно

Металлокерамические коронки изготавливаются только из самой прочной керамики и стойкого металла. Они хорошо переносят жевательную нагрузку и перепады температуры. При этом керамика достаточно эстетична и полностью имитирует собственный зуб пациента.

Установка коронок без боли

Благодаря возможности использования качественных и безопасных препаратов для обезболивания. Все этапы изготовления и установки коронок проходят абсолютно безболезненно.

Быстрое изготовление металлокерамических коронок

С момента подготовки зуба до фиксации коронки проходит от 7 -14 дней. Это время необходимо врачу на подготовку зуба и зубному технику, чтобы он выполнил работу красиво и ввел ее в прикус.

Врачи с опытом

Постановка металлокерамических коронок не дешевая, но ответственная работа, для которой необходима квалификация и опыт. Наши врачи уже много лет занимаются металлокерамикой, поэтому смогут помочь даже в самых сложных случаях. Можно ознакомится с отзывами и фото работ специалистов.

Что представляет собой металлокерамическая коронка и когда она нужна

Металлокерамическая коронка состоит из двух частей: из керамики и металла. Каркас представляет собой металлический колпачок, который обхватывает зуб. Керамическая масса наносится сверху на колпачок, имитируя цвет и форму настоящего живого зуба. Керамика имеет несколько оттенков соответственно оттенкам естественных зубов, поэтому в полости рта отличить собственные зубы от покрытых коронками невозможно.

Металлокерамические коронки нужны в тех случаях, когда зуб сильно разрушен и отреставрировать фотополимерной пломбой его невозможно. Даже если зуб разрушен до уровня десны, есть возможность его полностью восстановить. Главное условие - наличие крепких здоровых корней.

Металлокерамика применяется и на передних, и на боковых зубах. Хотя в последнее время на передних зубах отдается предпочтение безметалловой керамике.

Существуют различные виды керамических масс. Они отличаются по качеству и, соответственно, цене. Как правило, качественные керамические протезы не могут стоить дешево.

Металлокерамические коронки имеет достаточную прочность, при правильно изготовленной конструкции вероятность сколов минимальна. Питаться можно обычно пищей, но соблюдать правила безопасности относящиеся и к своим зубами. Открывание зубами бутылок, перегрызание лески и другие вредные привычки должны быть исключены.

Как происходит установка металлокерамической коронки

Подготовкой и лечением зубов занимается врач, а саму металлокерамическую коронку изготавливает зубной техник. Есть два варианта изготовления коронки на 1 зуб: на импланте и на культю собственного зуба. В первом и во втором случае работа начинается со снятия оттиска.

 

Консультация врача и диагностика

На первом этапе врач осматривает ротовую полость, определяет прикус. В редких ситуациях из-за неправильного прикуса применение металлокерамики затруднено.

Выполняются рентгенологические снимки. Обязательно необходим рентген зуба, на который планируется фиксация коронки. На усмотрение специалиста может быть необходим панорамный рентген или компьютерная томограмма.

 

Подготовка зуба

Одно из основных условий – наличие крепкого корня без воспалительных процессов в кости. С этой целью проводится удаление нерва и пломбирование корневого канала. В тех ситуациях, когда на верхушке есть воспаление, лечение пролонгируется до тех пор пока воспаление не исчезнет.

После лечения корневых каналов на зуб устанавливается упрочненная пломба. Если зуб сильно разрушен, может быть необходима культевая вкладка. Культевая вкладка представляет собой конструкцию, которая состоит из внутриканальной части – штифта и наддесневой – культи, на которую будет надета коронка.

 

Обточка зуба

Подготовленный зуб обрабатывается специальными борами. Ему придается конусовидная форма, и снимается объем тканей, равный толщине коронки.

 

Подбор цвета

Важный этап, поскольку если один зуб будет “выбиваться” по цвету, будет нарушена гармония всего зубного ряда.

 

Снятие оттиска

С обработанного зуба снимается оттиск. В полость рта вносится пластичный материал, который твердеет при температуре тела. За тем этот материал извлекается, сохраняя отпечаток зуба и участка челюсти. Для лучшего качества оттиска, врач может вставить между зубом и десной ретракционную нить.

 

Изготовление коронки в зуботехнической лаборатории

Зубной техник получает оттиск и по нему отливает модель участка челюсти из гипса. Затем он должен будет сделать металлическую часть и смоделировать из керамики будущий зуб.

 

Фиксация коронки

После того как коронка изготовлена, ее отправляют врачу. Коронку примеряют, если ничего не мешает, ее устанавливают на специальный цемент.

В нашей стоматологии можно оплатить услуги в рассрочку

Чем хороши металлокерамические коронки

Металлокерамическая коронка на данный момент является одним из самых надежных методов восстановления зубов. Зубная металлокерамика сочетает в себе все главные качества любого стоматологического материала: прочность и эстетичность. Многие пломбировочные материалы значительно уступают керамике по всем показателям.

Преимущества

  • Долговечность. Металлокерамические зубы служат очень долго, сохраняя привлекательный внешний вид.
  • Эстетичность. Коронка может имитировать полностью все анатомические особенности зуба.
  • Отсутствие компромисса между красотой и прочностью. Керамика будет хорошо смотрится как на передних зубах, где важна эстетика, так и на жевательных, где важна прочность.
  • Коронка может изменить форму и вернуть зуб в правильное положение при проблемном прикусе.
  • Стоимость. Цены на металлокерамику не низкие, но в сравнении с безметалловой керамикой и другими услугами более доступные. На то, сколько будет стоить поставить металлокерамику влияет количество единиц и наличие имплантов. Цена одного зуба с работой врача будет ниже нескольких. Коронка на имплантах стоит дороже, чем на собственных зубах.

Часто, коронка - это последний шанс для зуба на жизнь, поэтому не стоит с ним затягивать. Также, при отсутствии к тому показаний, не стоит в качестве альтернативы использовать восстановление зуба пломбой. Вероятнее всего, коронку все равно придется поставить, но будет потрачено время и деньги.

В Центре Семейной Стоматологии в Минске (Республика Беларусь) работают профессионалы в своей отрасли, Вы можете без опасений доверить здоровье своей улыбки в их руки.

Появились вопросы?
Появились вопросы?

Уважаемые клиенты, мы с радостью дадим грамотную консультацию и поможем определиться с необходимыми услугами

Наши врачи
Исаев Дмитрий Владимирович

Исаев Дмитрий Владимирович

Врач стоматолог-хирург
Стаж 16 лет

Посмотреть всех врачей
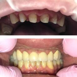
Примеры работ "До и после"
Записаться на консультацию
Записаться на  консультацию

Или позвоните
+375 33 376 02 80

Мы свяжемся с Вами и подберем удобное время визита.
https://medexpert.by/
4.8 / 5
Всего отзывов: 45