Установка брекетов детям

Исправление прикуса детям на европейских брекет-системах.
Детские ортодонты с опытом 12+ лет
Установка брекетов детям

Центр Семейной Стоматологии предлагает установку брекетов детям и подросткам в Минске. В нашей детской стоматологии вы можете поставить ребенку эффективные брекет-системы: металлические самолигирующие H4, Pitts 21, Damon Q, эстетические керамические Damon Clear, CLarity, пластиковые лигатурные Dentaurum, сапфировые Evrclear.

Записаться на прием к ортодонту и узнать сколько стоит брекет-система для ребенка можно по телефону или воспользовавшись формой обратной связи. Примерные цены на брекеты для детей можно увидеть ниже на странице. Окончательная стоимость ортодонтического лечения зависит от конкретной клинической ситуации, выбранной системы, озвучивается врачом после первичной консультации, диагностики, составления подробного плана лечения.

Установка брекетов детям / 1

Содержание страницы проверил врач: Смоляк Татьяна Владимировна

Проверено: 29.05.2023

Какие проблемы решают детские брекеты?

Прикус у детей формируется с рождения и до 15-16 лет (в среднем). В период постоянного прикуса (12-16 лет) аномалии выявляются практически у 50% обследованных детей. Последствия неправильного прикуса могут быть очень серьезными: увеличивается нагрузка на отдельные единицы, наблюдается быстрое стирание эмали, повышается ее чувствительность, лицо теряет симметрию. Могут нарушаться функции мимики, речи, глотания, жевания, дыхания.

С помощью брекетов детям можно исправить:

  • неровность и искривление зубов;
  • резцовая окклюзия (верхние фронтальные зубы перекрывают нижние);
  • перекрестная окклюзия (пересечение зубов при смыкании);
  • дистальный, мезиальный, открытый прикус;
  • сужение, скученность зубных рядов;
  • наличие межзубных промежутков (диастем, трем).

Какие брекеты в каком возрасте ставят?

Какие брекеты в каком возрасте ставят?

Дети до 8 лет. В этом возрасте брекет-системы не ставят, для лечения окклюзии используют съемную пластинку, ортодонтическую распорку, лингвальную дугу, двухчелюстной аппарат Кламмта/Френкеля, аппарат Марко Роса.

Показания: латеральная перекрестная окклюзия, смещение центральных зубов по отношению к губам. Лечение помогает добиться физиологически адекватного роста зубов и челюстей, исправить положение неправильно растущих альвеолярных отростков, челюстных костей, правильно их позиционировать.

Дети от 8 до 11 лет. После прорезывания резцов на нижней и верхней челюсти и диагностировании проблем с их расположением из-за нехватки места в ряду, установка брекет-системы исправляет дефект за 5-8 месяцев. Достаточно установить аппарат на первые моляры и передние зубы. Задача ранней ортодонтической коррекции — выравнивание резцов, формирование пространства для прорезывания клыков.

Дети от 11-12 лет. В этом возрасте завершается образование зубочелюстной системы, поэтому для исправления прикуса используются классические несъемные брекет-системы. Перед установкой врач должен убедиться, что у ребенка прорезались вторые моляры (необходимые для фиксации брекетов), остановился процесс развития корней постоянных зубов.

Виды брекетов для детей

Какие брекеты поставить детям? Выбор зависит от выраженности дефекта, мнения ортодонта и родителей самого ребенка, финансовых возможностей. В Центре Семейной Стоматологии в Минске мы устанавливаем детям самые современные эстетические, лигатурные и самолигирующие брекет-системы от проверенных американских и европейских брендов: Ortho Classic Orthodontics, Pitts, Ormco, 3M Unitek, Dentaurum.

Металлические самолигирующие (H4, Pitts 21, Damon Q) Доступные, надежные, прочные, эффективные — быстро перемещают зубы
Керамические самолигирующие (Damon Clear, CLarity) Эстетичные (практически не визуализируются на зубах), гипоаллергенные, не устойчивы к красителям, хрупкие, дороже металлических на 15-20%
Пластиковые лигатурные Dentaurum Эстетичные, доступные, носятся дольше металлических, не подходят для серьезных случаев 
Сапфировые лигатурные Evrclear Прочные, отличаются максимальной эстетикой, не видны на зубах, не вызывают аллергии, имеют крупные размеры (относительный минус)

Противопоказания для установки брекетов детям

На самом деле противопоказания достаточно много и каждый случай уникален, но абсолютными считаются:

  • «аллергия на металл (для металлических систем)
  • болезни крови
  • бруксизм (неконтролируемый скрежет зубами)
  • патологии височно-нижнечелюстного сустава
  • психические особенности, не позволяющие детям выполнять просьбы доктора (тяжелая умственная отсталость, аутизм, шизофрения)».

Комментирует врач стоматолог-ортодонт первой квалификационной категории Смоляк Татьяна Владимировна.

В нашей стоматологии можно оплатить услуги в рассрочку

Как ставят брекеты детям в Центре Семейной Стоматологии

Снимок и консультация

Прямо в центре перед консультацией детского ортодонта выполняется панорамный снимок (ортопантомограмма). Врач составляет схему лечения и принимает решение о необходимости удаления зубов для создания пространства для передвижения остальных.

Подготовительный этап

Проводится лечение больных десен и зубов, профессиональная гигиеническая чистка. Если показано удаление, то выполняется удаление зубов (в большинстве случаев ортодонт рекомендует экстракцию зубов мудрости).

Установка брекетов

Врач крепит замочки на зубы, фиксируют силовую дугу и дополнительные элементы конструкции.

Контроль

Ребенок посещает врача для осмотра 1 раз в 10 недель (самолигирующие брекеты), 1 раз в 30 дней (лигатурные брекет-системы).

Ретенция

После завершения курса лечения (1-3 года) ребенку ставят ретейнер для закрепления полученных результатов.

Появились вопросы?
Появились вопросы?

Уважаемые клиенты, мы с радостью дадим грамотную консультацию и поможем определиться с необходимыми услугами

Наши врачи
Коршикова Ксения Станиславовна

Коршикова Ксения Станиславовна

Врач стоматолог-ортодонт
Стаж 16 лет

Смоляк Татьяна Владимировна

Смоляк Татьяна Владимировна

Врач стоматолог-ортодонт
Стаж 20 лет

Посмотреть всех врачей
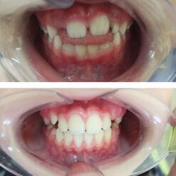
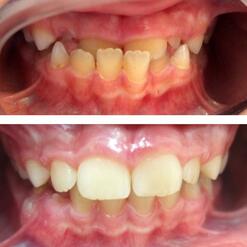
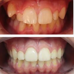
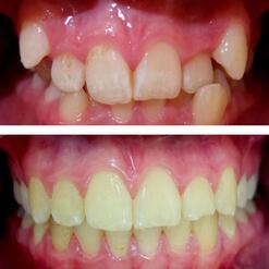
Примеры работ "До и после"
Ответы на вопросы

В каком возрасте можно ставить брекеты?

Лечение прикуса у детей при помощи брекет-системы назначается с 12 лет (в среднем), после смены молочных зубов постоянными. В этот период зубочелюстная система уже сформирована, но челюсть продолжает расти, поэтому коррекция прикуса проходит быстрее и легче. Более раннее ортодонтическое лечение (в 8-11 лет) выполняется при неправильном прорезывании резцов на обеих челюстях —  в этом случае брекеты устанавливаются на фронтальные зубы и первые моляры, что помогает выровнять резцы, создать место для прорезывания клыков.

Чем отличаются детские брекеты от взрослых?

По назначению, конструктивным особенностям, материалам, способам фиксации, принципу работы детские брекеты ничем не отличаются от взрослых.

Как подготовить ребенка к брекетам психологически?

Родители должны объяснить ребенку, что неправильный прикус может привести к проблемам со здоровьем, психологическому дискомфорту, изменить контуры лица в худшую сторону. Не следует психологически давить на ребенка, лучше рассказать ему, что здоровая и красивая улыбка позволит в будущем разговаривать и смеяться, не испытывая стеснения и дискомфорта. 

Какие особенности ухода за брекетами у детей?

Чистить зубы с брекетами следует после каждого приема пищи. Для гигиены ротовой полости нужно применять фторсодержащую пасту, специальную щетку с V углублением щетинок, ирригаторы, зубные нити. Гигиенические процедуры должны продолжаться не менее 3-4 минут. Не стоит давать ребенку твердые продукты (орехи, сухари), мучную, кислую и сладкую продукцию.

Как долго дети носят брекеты?

Ориентировочно - 1,5-2 года, в сложных случаях — до 3 лет.

Награды и рейтинги

Мы предоставляем своим пациентам стоматологические услуги высокого качества.
Чтобы убедиться в этом — изучите независимое мнение о нас от пациентов на популярных интернет-порталах.

Центр Семейной Стоматологии -

Центр Семейной Стоматологии -

”Детская стоматология №1” по результатам Премии №1

"Лучшая стоматологическая клиника" в премии Belarus Beauty Awards

Google
Yandex
103by
relax
otzivy by
Перейти к рейтингам и отзывам
Записаться на консультацию
Записаться на  консультацию

Или позвоните
+375 33 376 02 80

Мы свяжемся с Вами и подберем удобное время визита.
https://medexpert.by/
4.8 / 5
Всего отзывов: 45