Лечение кариеса взрослому человеку, реставрация зубов, фото до и после

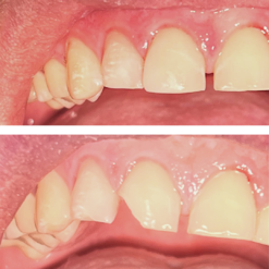
Фотография до лечения кариеса
Фотография после лечения кариеса

Выполненная работа: лечение кариеса, реставрация единиц

Врачи: Масальская О.В.

Жалоба пациента: жалобы на неудовлетворительную эстетику зуба 1.2

Объективное заключение специалистов: дефект твёрдых тканей зуба 1.2

Диагноз: кариес дентина

Лечение: замена реставрации, лечение кариеса дентина зуба 1.2 под седацией. В дальнейшем планируется отбеливание зуба 1.1. 

Общая длительность лечения: 60 минут

Лечащий врач
Масальская Ольга Васильевна

Врач стоматолог-терапевт первой квалификационной категории.
Стаж: с 2002 года

Другие работы
Появились вопросы?
Появились вопросы?
Дадим грамотную консультацию!
https://medexpert.by/
4.8 / 5
Всего отзывов: 45