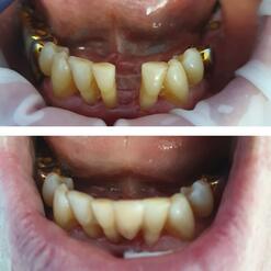
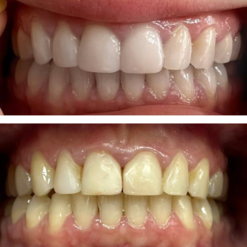
Реставрация зубов взрослому с помощью композитных материалов, фото до и после

Фотография до реставрации
Фотография после реставрации

Выполненная работа: реставрация зубов взрослому композитными материалами, терапевтическое лечение

Врачи: Масальская О.В.

Жалоба пациента: жалоба на травму при езде на самокате (скол зубов)

Объективное заключение специалистов: травма (перелом) зубов 13 (в области режущего бугра), 12 (в области режущего края), 11 (скол дистального угла коронки без вскрытия пульпы)

Лечение: реставрация зубов композитными материалами

Общий срок лечения: 60 минут

Лечащий врач
Масальская Ольга Васильевна

Врач стоматолог-терапевт первой квалификационной категории.
Стаж: с 2002 года

Другие работы
Записаться на консультацию
Записаться на  консультацию

Или позвоните
+375 33 376 02 80

Мы свяжемся с Вами и подберем удобное время визита.
https://medexpert.by/
4.8 / 5
Всего отзывов: 45