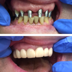
Восстановление зубного ряда, протезы на аттачменах

Фото до протезирования
Фото после протезирования

Выполненная работа: восстановление зубного ряда

Врачи: Азаркевич А.П., Колтунов А.М.

Жалоба пациента: жалобы на отсутствие зубов (сложности при пережёвывании пищи, неудовлетворительная эстетика, нарушение речи образования)

Объективное заключение специалистов: заменить старые ортопедические конструкции на бюгельные протезы на аттачменах

Диагноз: частичная вторичная адентия верхней и нижней челюстей, дефекты твёрдых тканей 41, 31, 32 и 33 зубов

Лечение:

  • первый этап - установка культевых штифтовых вкладок (с последующим покрытием временными коронками)
  • второй этап – сняты анатомические оттиски для изготовления металлокерамических протезов с последующей опорой на них замковых конструкций

Дополнительно: подготовка к протезированию заключалась в депульпировании опорных зубов

Общий срок лечения: 28 дней

Отзывы пациентов
Юлия

Хочу выразить огромную благодарность врачу Картель Анастасии Владимировне и анестезиологу Валек Александру Александровичу,за их добросовестное отношение к своим пациентам,и за качество их работы. Я не первый раз обращаюсь за помощью лечения зубов своим деткам,и если понадобится я обращусь только к ним, это не просто специалисты своего дела, это чуткие,добрые,ответственные врачи и мед персонал. Спасибо всем огромное!

Врачи:   Картель Анастасия Владимировна Валек Александр Александрович 14.03.2026
Ольга Алексеевна

Хочу выразить огромную благодарность стоматологу Азаркевич Алле Петровне и ее ассистенту Харитонович Тамаре Ивановне,за профессионализм, отзывчивость и качественно выполненное лечение без боли!!! У меня проблема с обезбаливающими, и наконец-то я нашла клинику, в которой обезбаливание меня взяло и я ничего не чувствовала во время лечения. Теперь лечить зубы только у Вас!

Врачи:   Азаркевич Алла Петровна 12.03.2026
Татьяна

1.03.2026 проходили лечение под седацией у врачей Кротовой И.В. и Лытина П.А. Из-за особенностей ребенка, ее диагноза и сверхчувствительности даже простая чистка зубов у нас проходит с плачем, поэтому, я не представляла другой альтернативы, кроме как лечить зубки во сне. В клинике, по пробуждению, она конечно дала волю эмоциям, но о такой вероятности нас предупреждал Павел Анатольевич, поэтому мы были готовы. А Ирина Владимировна показала и рассказала о том как прошло лечение и на что следует обратить внимание при уходе. Спасибо за Вашу открытость и готовность развеять страхи тревожной мамы, за Вашу заботу и внимание к нашей дочери.

Врачи:   Кротова Ирина Владимировна Лытин Павел Анатольевич 03.03.2026
Другие работы
Записаться на консультацию
Записаться на  консультацию

Или позвоните
+375 33 376 02 80

Мы свяжемся с Вами и подберем удобное время визита.
https://medexpert.by/
4.8 / 5
Всего отзывов: 45