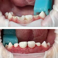
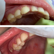
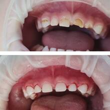
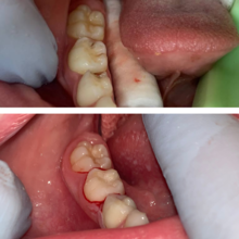
Примеры работ по лечению молочных зубов

Примеры работ наших специалистов в сфере лечения молочных зубов под седацией (во сне)
Примеры работ по лечению молочных зубов

Отзывы пациентов
Юлия

Хочу выразить огромную благодарность врачу Картель Анастасии Владимировне и анестезиологу Валек Александру Александровичу,за их добросовестное отношение к своим пациентам,и за качество их работы. Я не первый раз обращаюсь за помощью лечения зубов своим деткам,и если понадобится я обращусь только к ним, это не просто специалисты своего дела, это чуткие,добрые,ответственные врачи и мед персонал. Спасибо всем огромное!

Врачи:   Картель Анастасия Владимировна Валек Александр Александрович 14.03.2026
Ольга Алексеевна

Хочу выразить огромную благодарность стоматологу Азаркевич Алле Петровне и ее ассистенту Харитонович Тамаре Ивановне,за профессионализм, отзывчивость и качественно выполненное лечение без боли!!! У меня проблема с обезбаливающими, и наконец-то я нашла клинику, в которой обезбаливание меня взяло и я ничего не чувствовала во время лечения. Теперь лечить зубы только у Вас!

Врачи:   Азаркевич Алла Петровна 12.03.2026
Татьяна

1.03.2026 проходили лечение под седацией у врачей Кротовой И.В. и Лытина П.А. Из-за особенностей ребенка, ее диагноза и сверхчувствительности даже простая чистка зубов у нас проходит с плачем, поэтому, я не представляла другой альтернативы, кроме как лечить зубки во сне. В клинике, по пробуждению, она конечно дала волю эмоциям, но о такой вероятности нас предупреждал Павел Анатольевич, поэтому мы были готовы. А Ирина Владимировна показала и рассказала о том как прошло лечение и на что следует обратить внимание при уходе. Спасибо за Вашу открытость и готовность развеять страхи тревожной мамы, за Вашу заботу и внимание к нашей дочери.

Врачи:   Кротова Ирина Владимировна Лытин Павел Анатольевич 03.03.2026

Услуги стоматологии

Лечение зубов под наркозом в Минске без боли и страха
Лечение зубов под наркозом в Минске без боли и страха Седация
Вылечим до 10 молочных зубов за посещение
Детская стоматология Детская стоматология
Терапевтическая стоматология для всей семьи
Терапевтическая стоматология Терапия
Протезирование зубов в Центре Семейной Стоматологии
Протезирование зубов Протезирование
Имплантация зубов под ключ высококачественными материалами
Имплантация зубов в Минске Имплантация
Удаление зуба мудрости под наркозом (седацией) - это реальность
Хирургическая стоматология в Минске Хирургия
Ортодонт в Минске
Ортодонт в Минске Ортодонтия
Консультация врача пародонтолога
Пародонтология Пародонтология
Все услуги

В данном разделе вы сможете ознакомиться с фотографиями до и после лечения и восстановления молочных зубов под седацией (во сне), а именно: лечение кариеса молочных зубов, лечение пульпита, фторирование зубов детям, удаление зубов детям, пластика уздечки и др.

Записаться на консультацию
Записаться на  консультацию

Или позвоните
+375 33 376 02 80

Мы свяжемся с Вами и подберем удобное время визита.
https://medexpert.by/
4.8 / 5
Всего отзывов: 45